“In een wereld waar de waarheid verborgen ligt achter de schaduwen van de macht, onthult een vergeten document de sinistere connectie tussen parasieten en kanker. Terwijl de mensheid zich verliest in de strijd tegen ziekte, worden de antwoorden onderdrukt door degenen die de controle willen behouden. De medicijnen die ons zouden kunnen bevrijden, blijven in de schaduw van de farmaceutische belangen, als een stille getuige van een dystopische realiteit.”
Het document onthult dat Amerikaanse inlichtingendiensten onderzoek analyseerden waarin antiparasitaire medicijnen tumoren beïnvloeden.
Een recent opnieuw opgedoken CIA-document uit het begin van de Koude Oorlog heeft online discussie aangewakkerd over vroeg wetenschappelijk onderzoek naar kanker. Het document, dat al in 2014 werd gedeclassificeerd, beschrijft een Sovjetstudie uit 1950 waarin onderzoekers opvallende biochemische overeenkomsten tussen parasitaire wormen en kankertumoren onderzochten.
De hernieuwde aandacht voor het rapport leidde op sociale media tot speculaties en kritiek, waarbij sommigen zich afvragen waarom dergelijk onderzoek tientallen jaren in archieven van de Amerikaanse inlichtingendiensten bleef liggen.
Sovjetonderzoek uit het begin van de Koude Oorlog
Het CIA-document uit februari 1951 is een samenvatting van een wetenschappelijk artikel van professor V. V. Alpatov, gepubliceerd in 1950 in het Sovjettijdschrift Priroda. Alpatov bestudeerde de biochemische eigenschappen van endoparasieten – organismen die in het lichaam van een gastheer leven.
Tijdens de vroege Koude Oorlog hielden Amerikaanse inlichtingendiensten Sovjetwetenschap nauwlettend in de gaten. Doorbraken op het gebied van biologie en geneeskunde werden destijds niet alleen gezien als belangrijk voor de volksgezondheid, maar ook als mogelijk relevant voor militair onderzoek en biologische oorlogsvoering.
Overeenkomsten in metabolisme
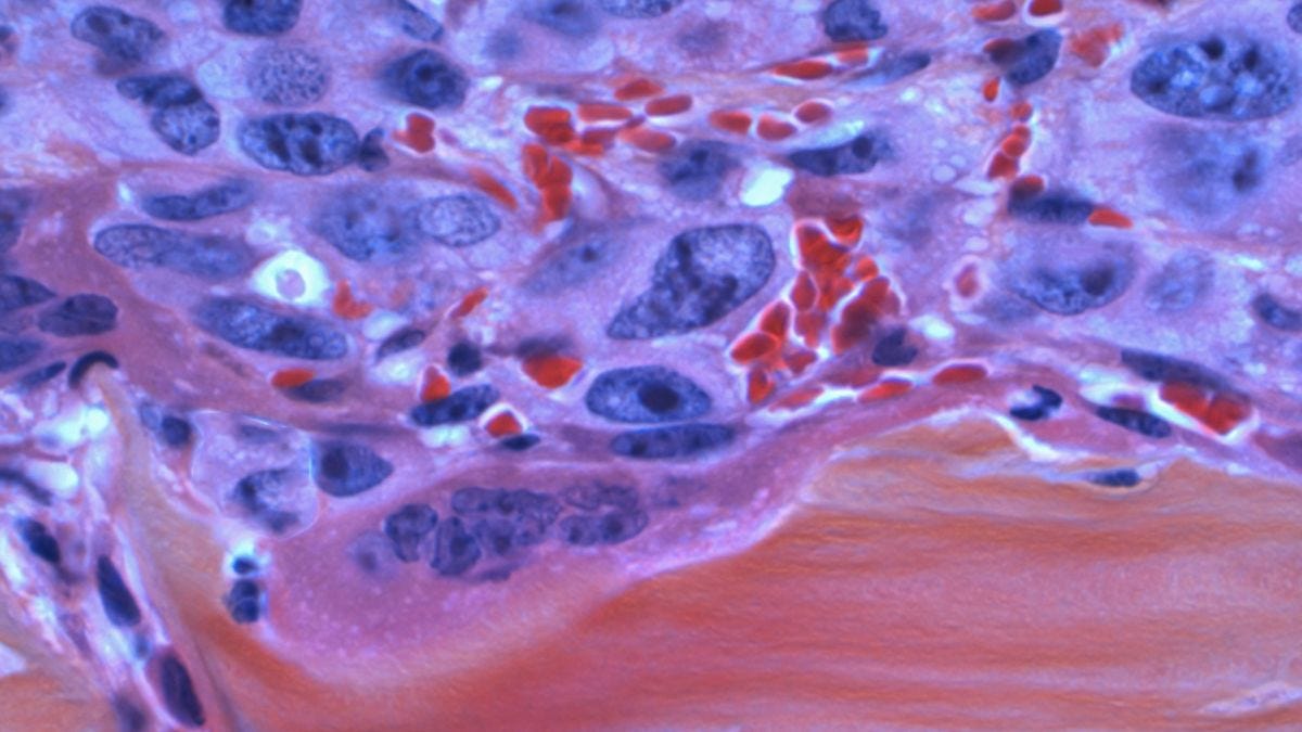
Volgens het Sovjetonderzoek vertonen parasitaire wormen en tumorcellen verschillende opvallende overeenkomsten. Eén van de belangrijkste betreft hun stofwisseling.
Parasitaire wormen in de menselijke darm produceren energie vaak via anaerobe processen, waarbij weinig zuurstof nodig is. Tumorcellen kunnen zich op een vergelijkbare manier aanpassen en groeien in zuurstofarme delen van het lichaam. Beide soorten weefsels bleken bovendien grote hoeveelheden glycogeen, een energiereserve voor cellen, op te slaan.
Experimenten met medicijnen
Het onderzoek beschreef ook experimenten met chemische stoffen die zowel parasieten als tumoren konden beïnvloeden. Een voorbeeld is Myracyl D, een medicijn dat oorspronkelijk werd ontwikkeld tegen bilharzia, een parasitaire ziekte veroorzaakt door bloedzuigers. Volgens de Sovjetstudie toonde het middel ook activiteit tegen bepaalde tumoren.
Een andere onderzochte stof was Guanozolo, een molecuul dat de productie van nucleïnezuren – de bouwstenen van DNA en RNA – kan verstoren. Omdat kankercellen zich snel delen en daarvoor voortdurend nieuw DNA moeten produceren, kan het blokkeren van dit proces de groei van tumoren afremmen.
Op basis van deze bevindingen stelden de Sovjetwetenschappers dat tumoren biologische eigenschappen delen met parasieten.
Ophef op sociale media
Toen het document recent opnieuw opdook op internet, leidde dat tot speculaties. Sommige gebruikers op sociale media beweerden dat de CIA een genezing voor kanker heeft verborgen of dat kanker eigenlijk een parasitaire ziekte is.
De Amerikaanse oncoloog Jason R. Williams reageerde op X op het artikel en zei dat bepaalde antiparasitaire medicijnen, zoals ivermectine en mebendazol, al jaren onderzocht worden in de context van kankertherapie.
Hij wijst erop dat parasieten en kankercellen vergelijkbare strategieën gebruiken: ze kapen de gastheer, ontwijken het immuunsysteem en vermenigvuldigen zich snel. Daardoor kunnen sommige medicijnen die parasieten bestrijden ook effect hebben op tumorcellen.
Williams voegde toe dat er inmiddels honderden wetenschappelijke studies zijn die antikankereffecten van mebendazol beschrijven. Toch worden dergelijke middelen relatief weinig grootschalig onderzocht in klinische studies, mede omdat het om goedkope medicijnen gaat die weinig commerciële opbrengst opleveren.

